女儿银屑病痊愈,单亲妈妈露出了久违的笑脸
文章来源:长春华山皮肤病医学研究院
【不幸患病,单亲家庭雪上加霜】
王女士是一个生活在临沂山区的普通家庭主妇,同时也是个单亲妈妈。五年前丈夫去世后,王女士就一直与女儿晓静相依为命。虽然家里收入很拮据,但是晓静很懂事,从小就知道帮王女士分担很多事情,而王女士也很疼爱晓静,用双倍的母爱来弥补晓静没有父亲的缺憾。晓静今年10岁了,生得越发天真可爱,村里人都说王女士有这么一个漂亮又懂事的女儿是她的福气。
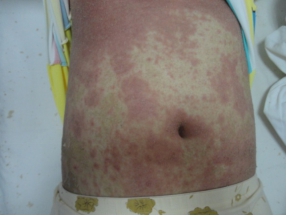
可是,令王女士没想到的是,这样平静美好的生活,却被一场突如其来的银屑病打破了。就在去年冬天,晓静身上开始长一些红疹,而且很痒。但是只要一挠,身上的皮屑就会到处乱飞。久而久之,村里的小伙伴都不愿跟晓静玩耍,晓静逐渐被孤立了。虽然很难过,可懂事的她并没有把自己的处境告诉妈妈,只是渐渐变得沉默寡言,内向孤僻。然而细心的王女士还是发现了异常。虽然怎么询问晓静都不肯开口,但是王女士在晓静的贴身衣物上发现了大量的白色鳞屑,于是趁晓静睡着时撩开了女儿的衣服。在看到女儿身上大片大片的红斑时,王女士震惊得眼泪一下就下来了。
银屑病若不及时治疗,会加重病情,点击咨询

【乱用偏方,病症加剧】
得知了晓静的病症后,王女士忧心不已,想带晓静去省城大医院,家里经济条件又不允许。最后王女士决定先带晓静去看看村里的老神医。老神医看了晓静的情况,从抽屉里拿出一贴药剂贴在了她的患处,并对王女士说只要坚持敷药10天病就好了。然而十天过去了,虽然王女士每天坚持给晓静敷药,晓静身上的红斑却不见消退,反而身上出现了更大面积的红斑。晓静越来越沉默,王女士也整日地以泪洗面责怪自己。
晓静学校的刘老师听说了这件事,也知道晓静家里的情况,于是找到王女士,给她推荐了长春华山皮肤病医院。听到华山皮肤病医院对于治疗这类皮肤病有口皆碑,王女士顿时燃起了希望,然而又很担心费用问题。刘老师安慰王女士说,华山皮肤病医院是正规的皮肤病医院,完全按照国家标准收费的,不用担心。于是,第二天,王女士便带着女儿来到了华山。
到达华山以后,徐永春主任接诊了这对母女。在确诊了晓静的病情以后,徐主任抓紧为晓静制定了分型分诊的治疗方案。而医院的医护人员在了解到王女士家里的情况以后,也纷纷安慰王女士,并告诉她不用担心,医院都是按照标准收费,并且可以使用医保,王女士紧张的心情这才渐渐放松下来。
身患银屑病需要去正规的医院接受正规的治疗,不可轻信偏方

【接受治疗,重获新生】
徐永春主任根据晓静的病情,和她的病史及典型的临床表现,确诊晓静患的是红皮病型银屑病。经过进一步检测,综合分析她的各项数据,决定让她住院治疗。徐永春主任采用“3D自体净血疗法”,通过患者自身免疫功能的强化从根源祛除致病因子,物理治疗配合药物全方位综合治疗,通过3D自体净血疗法、中药熏蒸以及药浴等多方面治疗,住院治疗半个月后,晓静身上的皮损大大改善。两个月后,晓静身上的皮损已基本消失,经过巩固抗复发治疗后完全康复。
“3D自体净血疗法”适用于各种类型的银屑病患者吗?我要咨询

原先王女士以为,自己家里这个经济条件,恐怕女儿身上这个毛病是治不好了,整日地脸面愁容。现在看到女儿身上的皮肤恢复如初,王女士终于露出了久违的笑容。她抱着同样绽放笑容的女儿,对华山皮肤病医院的医疗团队连声感谢。
温馨提示:不少患者在发现银屑病后,都会病急乱投医。一旦发现银屑病,千万不能乱用偏方,偏方会延误您的治疗甚至是加重您的病情,所以一定要到正规的医院接受治疗。
医师预约:0431-81089997 | 预约QQ:4000869626
医院地址:长春市南关区大经路356号(大经路与四马路交汇处)



